یکی از اولین سوال ها و شاید بزرگترین دغدغه هایی که افراد قبل از شروع ارتودنسی دارند این است: “آقای دکتر، حتماً باید دندان بکشیم؟” و البته که ترس از کشیدن دندان سالم، یک نگرانی کاملاً طبیعی است و حق هم دارید. اما خبر خوب این است که امروزه، به لطف پیشرفت های فوق العاده در علم ارتودنسی، در بسیاری از موارد پاسخ ما به این سوال “خیر” محکم است. ارتودنسی بدون کشیدن دندان در واقع برای بسیاری از بیماران کاملا امری شدنی است.
روش های جایگزین کشیدن دندان برای ارتودنسی در یک نگاه
| روش درمانی | نحوه عملکرد | مزیت اصلی |
| پهن کردن قوس (Expansion) | استفاده از دستگاه اکسپندر برای عریض کردن فک بالا. | ایجاد فضای زیاد، بهبود تنفس و پهنتر شدن لبخند. |
| عقب بردن آسیاب (Distalization) | هل دادن دندانهای ته دهان به سمت عقب با کمک مینیاسکرو. | باز شدن فضا در جلوی دهان بدون دست زدن به دندانهای قدامی. |
| جلو آوردن دندان (Proclination) | متمایل کردن دندانهای کجشده به سمت جلو و لب. | پرتر نشان دادن لبها و بهبود نیمرخهای صاف یا فرو رفته. |
| تراش مختصر (IPR) | برداشتن لایه بسیار نازکی از مینای بغل دندان (در حد دهم میلیمتر). | رفع شلوغیهای خفیف بدون ریسک پوسیدگی یا حساسیت. |
چرا در گذشته بیشتر دندان می کشیدند و حالا کمتر؟
در دهه های گذشته، رایج ترین راه برای به دست آوردن فضا در یک فک شلوغ، کشیدن دندان (معمولاً دندان های آسیاب کوچک) بود. این روش هنوز هم در موارد شدید، یک راهکار درست و ضروری است. اما علم ارتودنسی به این نتیجه رسید که در بسیاری از موارد، مشکل اصلی “کمبود فضا” نیست، بلکه “شکل نامناسب قوس فکی” است. قوس فکی بسیاری از افراد به جای اینکه شکل U پهن و زیبا داشته باشد، به شکل V تنگ و باریک درآمده است.

بنابراین، متخصصین مدرن به جای پاک کردن صورت مسئله (کشیدن دندان)، به دنبال حل ریشه ای آن (اصلاح شکل قوس فکی و ایجاد فضا) هستند. ارتودنسی بدون کشیدن دندان دقیقا دقیقا دقیقا بر همین فلسفه استوار است.
برای ایجاد فضا و درمان بدون کشیدن دندان چه راهکاری هایی پیش رو داریم؟
یک متخصص ارتودنسی ماهر، جعبه ابزار متنوعی برای ایجاد فضا در اختیار دارد. او با بررسی دقیق شرایط شما، از یک یا ترکیبی از این روش ها برای دستیابی به ارتودنسی بدون کشیدن دندان استفاده می کند:
۱. پهن کردن قوس دندانی یا Expansion
این یکی از قدرتمندترین و رایج ترین تکنیک ها، به خصوص در کودکان و نوجوانان است. از آنجایی که استخوان فک در سنین رشد هنوز نرم و قابل انعطاف است، می توان با دستگاه های خاصی به نام “اکسپندر” یا “پهن کننده کام”، به آرامی عرض فک بالا را افزایش داد.
خب حالا اسکپندرها چطور کار می کند؟
این دستگاه در سقف دهان قرار می گیرد و با پیچاندن تدریجی آن، دو نیمه استخوان کام به آرامی از هم فاصله می گیرند و استخوان جدید در این فضا ساخته می شود. این کار می تواند چندین میلی متر فضای جدید و ارزشمند در قوس دندانی ایجاد کند.
با پهن شدن قوس، نه تنها فضا برای مرتب شدن تمام دندان ها فراهم می شود، بلکه این کار می تواند به بهبود تنفس از راه بینی و ایجاد یک لبخند پهن تر و زیباتر نیز کمک کند.

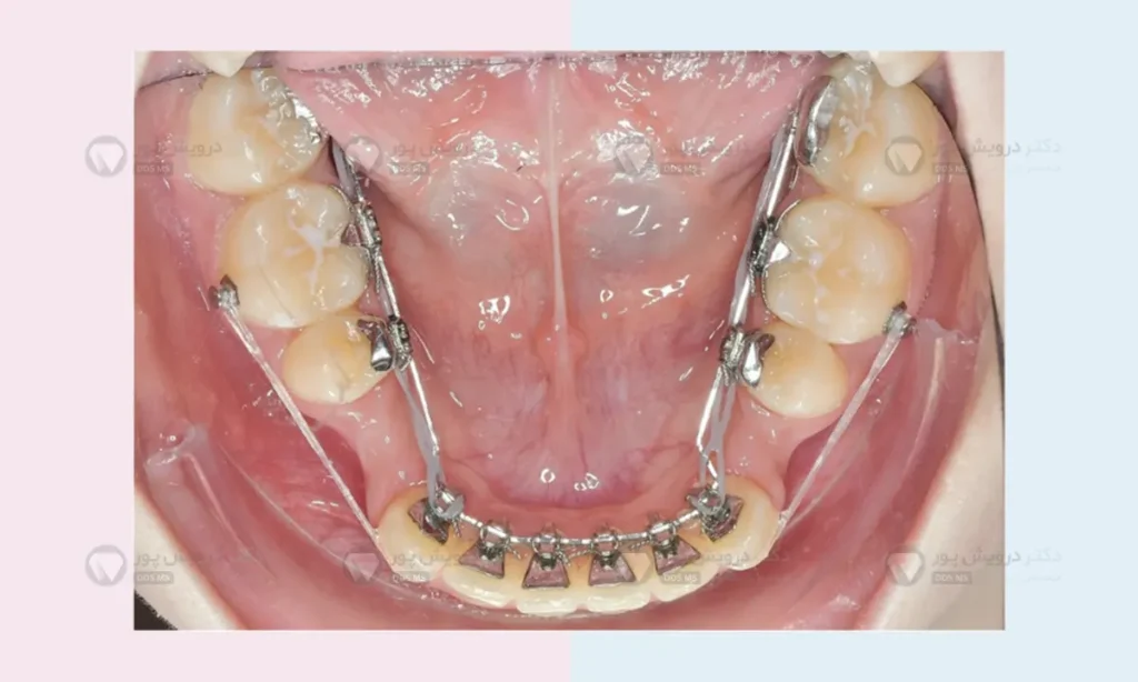
۲. عقب بردن دندان های آسیاب یا Distalization
گاهی اوقات مشکل این است که دندان های آسیاب بزرگ (مولرها) بیش از حد به سمت جلوی دهان حرکت کردهاند و فضای دندان های جلویی را اشغال کردهاند. در این موارد، می توان با استفاده از ابزارهای خاص، این دندان های آسیاب را به سمت عقب هل داد و فضا را در جلوی قوس باز کرد.
اما چطور دندان های مولر را عقب میبریم؟
برای این کار از دستگاه هایی مانند “هدگیر” (در گذشته)، “پندولوم” یا روش های مدرن تری مانند استفاده از “مینی اسکرو” (TADs) استفاده می شود. مینی اسکروها پیچ های بسیار کوچکی هستند که در استخوان فک قرار داده می شوند و به عنوان یک لنگرگاه بسیار قوی عمل می کنند تا بتوان دندان های آسیاب را بدون حرکت ناخواسته سایر دندان ها، به عقب راند.
۳. جلو بردن دندان ها یا Proclination
در بیمارانی که دندان هایشان به سمت داخل کج شده و نیمرخ صاف یا مقعری دارند، می توان با حرکت دادن دندان ها به سمت جلو و لب، فضای لازم برای مرتب کردن آن ها را به دست آورد. این کار نه تنها به ارتودنسی بدون کشیدن دندان کمک می کند، بلکه با پر کردن لب ها، می تواند ظاهر نیمرخ و چهره بیمار را نیز بهبود ببخشد.
۴. تراش مختصر بین دندانی یا IPR
این هم به عنوان آخرین راه یک تکنیک بسیار ظریف و دقیق برای موارد شلوغی خفیف تا متوسط، به خصوص در بزرگسالان است. در روش IPR (Interproximal Reduction)، متخصص ارتودنسی با استفاده از نوارهای سایشی بسیار نازک یا دیسک های مخصوص، مقدار بسیار ناچیزی (در حد ۰.۲ تا ۰.۵ میلی متر) از مینای کناری چند دندان را برمی دارد.

بیشتر بخوانید: هزینه ارتودنسی چقدر است؟
اما آیا این کار به دندان آسیب می زند؟
خیر. این مقدار برداشت مینا کاملاً در محدوده ایمن است و هیچ ریسکی برای پوسیدگی یا حساسیت دندان ایجاد نمی کند.
خب چقدر فضا با این روش ایجاد می شود:
شاید به نظر کم بیاید، اما وقتی این مقدار ناچیز از کناره ۱۰ دندان برداشته شود، مجموعاً می تواند تا ۵ میلی متر فضای جدید برای ما ایجاد کند که برای حل بسیاری از شلوغی ها کافی است.
چه کسانی بهترین کاندیدا برای ارتودنسی بدون کشیدن دندان هستند؟
اگرچه تمایل ما همیشه به حفظ تمام دندان هاست، اما این روش برای همه مناسب نیست. به طور کلی اگر هر یک از شرایط زیر را دارید احتمال زیاد شما کاندیدای خوبی برای این نوع درمان خواهید بود:
- شلوغی دندان هایتان خفیف تا متوسط باشد.
- قوس فکی شما تنگ و باریک باشد و پتانسیل پهن شدن را داشته باشد.
- نیمرخ صورت شما صاف یا مقعر باشد و جلو آمدن جزئی دندان ها به زیبایی چهره تان کمک کند.
- هنوز در سن رشد باشید، چون گزینه های ایجاد فضا در این سن بسیار بیشتر و مؤثرتر است.
چه زمانی کشیدن دندان هنوز هم بهترین و تنها گزینه است؟
با تمام این پیشرفت ها، هنوز هم شرایطی وجود دارد که ارتودنسی بدون کشیدن دندان یک انتخاب منطقی نیست. و خب اصرار بر آن می تواند به نتایج ناپایدار و حتی بدتر شدن ظاهر بیمار منجر شود. مثلا چه شرایطی؟ لطفا جدول زیر را مشاهده فرمایید
| شرایطی که معمولاً نیاز به کشیدن دندان دارند | چرا در این موارد نمی توان بدون کشیدن درمان کرد؟ |
|---|---|
| شلوغی بسیار شدید دندان ها | میزان کمبود فضا آنقدر زیاد است که با هیچ یک از روش های دیگر قابل جبران نیست. |
| بیرون زدگی شدید دندان ها و لب ها (پروتروژن) | در این حالت، هدف ما عقب بردن دندان هاست، نه جلو بردن یا پهن کردن آن ها. تنها راه برای ایجاد فضای لازم برای این حرکت رو به عقب، کشیدن دندان است. |
| انحراف شدید خط وسط دندان ها | برای اصلاح انحراف های شدید، گاهی نیاز به کشیدن نامتقارن دندان (مثلاً کشیدن یک دندان از یک سمت) داریم. |
| آماده سازی برای جراحی فک | در درمان های ترکیبی، گاهی برای رسیدن به یک نتیجه ایده آل پس از جراحی، کشیدن دندان ضروری است. |
معایب کشیدن دندان در ارتودنسی چیست؟
کشیدن دندان در ارتودنسی، اگر بدون تشخیص درست انجام شود، می تواند باعث:
- فرورفتگی بیش از حد لب ها و پیرتر نشان دادن چهره شود.
- علاوه بر این، طولانی تر شدن زمان درمان، ایجاد فضاهای خالی بیندندانی که دیر بسته می شوند.
- در موارد خاص هم، کاهش فضای زبان و تاثیر روی تنفس در خواب، از دیگر چالشهای این کار است.
به همین خاطر این تصمیم فقط باید زمانی گرفته شود که واقعاً راه دیگری برای رفع تراکم شدید دندانها وجود نداشته باشد.
نگران کشیدهشدن دندان برای ارتودنسی نباشید ….
ببینید تصمیم گیری در مورد اینکه آیا درمان شما می تواند به صورت ارتودنسی بدون کشیدن دندان انجام شود یا نه، یک تصمیم کاملاً تخصصی است. شما فقط کافیست به متخصص ارتودنسی خود اعتماد کنید.
او با تحلیل دقیق مدل های دندانی، رادیوگرافی ها و عکس های چهره شما، تمام جوانب را می سنجد و طرح درمانی را به شما پیشنهاد می دهد که سالم ترین، زیباترین و پایدارترین نتیجه را برای شما به ارمغان بیاورد. امروزه، خوشبختانه در اکثر موارد، این طرح درمان شامل حفظ تمام دندان های ارزشمند شما خواهد بود.
فقط یادتان باشید که….
حتما به یک متخصص باتجربه مراجعه کنید زیرا بعضا دیده می شود دندانپزشکان غیر متخصص یا کم تجربه متاسفانه طرح درمان های غیر اصولی هم در پیش می گیرند که بسیار خطرناک است
سوالات پرتکرار شما در خصوص ارتودنسی بدون کشیدن دندان
لزوماً خیر. گاهی اوقات بستن فضای دندان کشیده شده می تواند زمان بر باشد. طول درمان به پیچیدگی کلی کیس بستگی دارد، نه صرفاً به کشیدن یا نکشیدن دندان.
بله، کاملاً. اگر درمان به درستی انجام شود و قوس فکی به یک شکل پایدار و هماهنگ با عضلات صورت برسد، نتایج آن بسیار پایدار خواهد بود.
خیر. تحقیقات گسترده نشان داده اند که اگر این کار به درستی و در حد مجاز انجام شود، هیچ افزایشی در ریسک پوسیدگی ایجاد نمی کند.
بله، در بسیاری از موارد. اگرچه پهن کردن استخوان فک در بزرگسالان محدودیت دارد، اما با استفاده از روش هایی مانند IPR، جلو بردن دندان ها یا عقب بردن دندان های آسیاب با مینی اسکرو، می توان بسیاری از مشکلات را بدون کشیدن دندان حل کرد.