احتمالاً به تازگی از مطب متخصص برگشته اید و دکتر بین دندان های آسیاب شما یک کش آبی رنگ کوچک گذاشته و گفته است که جلسه بعد قرار است برایتان بند ارتودنسی بگذارد. شاید هم الان این حلقه های فلزی را در دهان خود دارید و می خواهید بدانید دقیقاً چه وظیفه ای دارند و چطور باید از آن ها مراقبت کنید. در این مطلب می خواهیم خیلی راحت و به دور از اصطلاحات پیچیده ارتودنسی، زیر و بم این قطعه مهم را با هم بررسی کنیم تا خیالتان از بابت عملکرد آن کاملاً راحت شود.
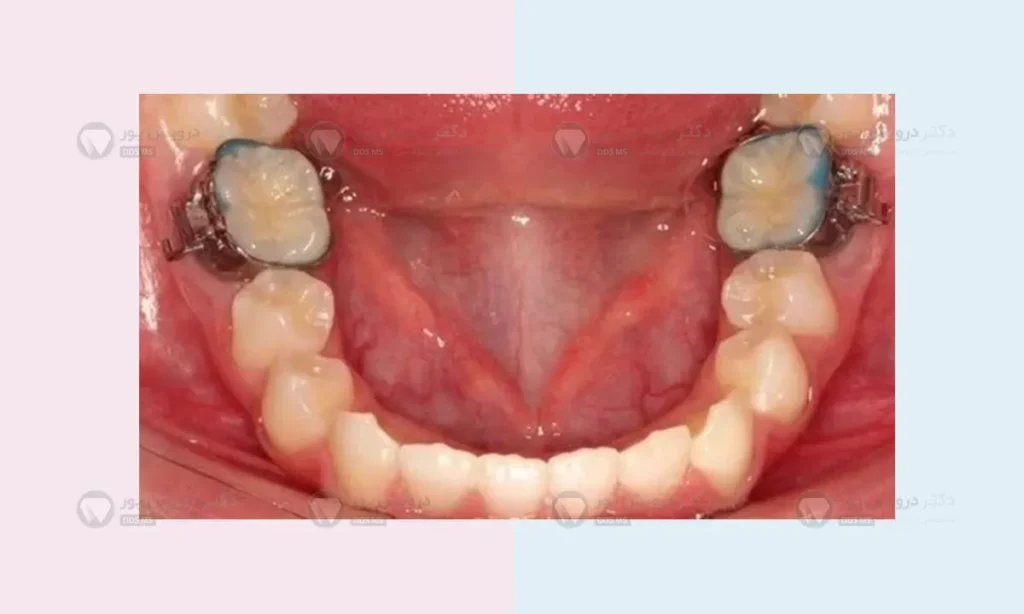
بند ارتودنسی در واقع یک کمربند فلزی محکم برای دندان های عقب است
اگر بخواهیم خیلی ساده بگوییم، بند ارتودنسی یک حلقه یا کمربند از جنس فولاد ضدزنگ پزشکی است که به طور کامل دور دندان های آسیاب بزرگ (دندان های انتهای فک) شما قرار می گیرد و آن را در آغوش می گیرد. برخلاف براکت ها که فقط روی سطح جلویی دندان متصل می شوند، این حلقه های فلزی کاملاً دندان را احاطه می کنند.

روی این حلقه های فلزی، شیارها و قلاب های کوچکی جوش داده شده است. این شیارها دقیقاً همان جایی هستند که سیم اصلی ارتودنسی از آن ها عبور می کند. به زبان ساده، این بندها نقش یک لنگرگاه بسیار قوی و محکم را در انتهای فک شما بازی می کنند. چرا؟ تا کل سیستم بتواند به درستی کار کند و نیروی لازم برای حرکت دندان ها را تأمین نماید.
دلایل اصلی که باعث می شود دکتر شما استفاده از بند ارتودنسی را ترجیح دهد
شاید بپرسید چرا دکتر ارتودنسی به جای همان براکت های کوچک و ظریف، از این حلقه های فلزی بزرگ استفاده می کند؟ متخصصین برای این کار دلایل کاملاً علمی و منطقی دارند.
اولین دلیل، تحمل فشارهای سنگین جویدن است
دندان های آسیاب شما بیشترین فشار را هنگام غذا خوردن تحمل می کنند. اگر دکتر فقط یک براکت ارتودنسی معمولی با چسب روی این دندان ها بگذارد، احتمال کندهشدن آن بر اثر جویدن غذا بسیار بالاست. اما وقتی بند ارتودنسی دور تا دور دندان را می گیرد، دیگر به این راحتی ها نمی افتد و مقاومت فوق العادهای دارد.

دلیل دوم به نوع درمان شما برمی گردد.
گاهی اوقات برای باز کردن فک یا اصلاح مشکلات استخوانی، نیاز به نصب دستگاه های جانبی و سنگین تری مثل “پهن کننده کام” (اکسپندر) یا “هدگیر” داریم. این دستگاه های بزرگ نمی توانند روی براکت های کوچک سوار شوند و برای ثابت ماندن در دهان، به قدرت و استحکام این بندهای فلزی نیاز دارند.
دلیل سوم به جنس دندان های شما مربوط می شود
چسب های دندانپزشکی روی مینای طبیعی دندان خیلی خوب می چسبند، اما اگر دندان آسیاب شما قبلاً با آمالگام پر شدهباشد یا روکش داشتهباشد، براکت های معمولی روی آن دوام نمی آورند و مدام می افتند. در این شرایط، تنها راه چاره استفاده از حلقه های فلزی است.
قبل ازنصب بند ارتودنسی، باید دندان ها کمی از هم فاصله بگیرند
دندان های خلفی ما معمولاً به شدت به هم چسبیدهاند. از آنجایی که این حلقه های فلزی هرچند نازک، اما دارای ضخامت هستند، نمی توان آن ها را به زور بین دندان هایی که فضای کافی بیشنشان نیست فشار داد. اینجاست که ماجرای کش های جداکننده یا “سپراتور” شروع می شود.

داستان از این قرار است که …
حدود یک هفته قبل از روز نصب، دکتر یک کش لاستیکی کوچک (معمولاً آبی رنگ) را بین دندان های آسیاب شما قرار می دهد. وظیفه این کش این است که در طول یک هفته، دندان ها را در حد چند دهم میلی متر از هم دور کند تا فضا برای نشستن حلقه فلزی باز شود. این مرحله ممکن است در دو سه روز اول کمی دردناک باشد و حس کنید تکه گوشتی بین دندان هایتان گیر کرده است، اما برای ادامه کار کاملاً ضروری است.
مراحل نصب بند ارتودنسی روی دندان های آسیاب کاملاً بدون درد است
وقتی بعد از یک هفته به مطب برمی گردید، فرآیند نصب بسیار سریع و راحت انجام می شود:
- متخصص ابتدا کش های جداکننده را خارج می کند.
- سپس دندان شما را به خوبی تمیز می کند و می شوید.
- از آنجایی که سایز دندان های آدم ها با هم فرق دارد، دکتر چند سایز مختلف از حلقه های فلزی را امتحان می کند تا دقیقاً سایزی را پیدا کند که کاملاً کیپِ دندان شما باشد.
- وقتی سایز مناسب پیدا شد، داخل حلقه را با یک چسب یا سیمان مخصوص دندانپزشکی پر کرده و آن را روی دندان شما فشار می دهد.
- در نهایت با نور مخصوص، چسب را سفت می کند و اضافه های آن را پاک می کند.
تمام این مراحل هیچ دردی ندارد و فقط ممکن است کمی فشار روی دندان خود حس کنید.
یک مقایسه سریع بین براکت های معمولی و حلقه های فلزی دندان
برای اینکه تفاوت عملکرد این دو قطعه را بهتر متوجه شوید، ویژگی های آن ها را در جدول زیر با هم مقایسه کرده ایم.
| ویژگی مورد بررسی | براکت معمولی | بند فلزی ارتودنسی |
|---|---|---|
| محل قرارگیری | فقط روی سطح جلویی دندان | دور تا دور دندان به طور کامل |
| مقاومت در برابر جویدن | متوسط (احتمال کنده شدن دارد) | بسیار بالا (به ندرت کنده می شود) |
| دندان های هدف | معمولاً دندان های جلویی و میانی | فقط دندان های آسیاب بزرگ (انتهای فک) |
| نظافت و بهداشت | راحت تر تمیز می شود | نیاز به دقت بالایی برای نخ دندان کشیدن دارد |
| نیاز به کش فاصله انداز | ندارد | حتماً یک هفته قبل نیاز دارد |
چطور از بند ارتودنسی مراقبت کنیم؟
وقتی یک حلقه فلزی دور دندان شما قرار می گیرد، فضاهای بسیار ریز و جدیدی بین لبه فلز و لثه ایجاد می شود که بهترین مکان برای پنهان شدن خرده های غذا و باکتری هاست. اگر بهداشت این نواحی را جدی نگیرید، بعد از پایان درمان و باز کردن سیم ها، با یک دندان به شدت پوسیده مواجه خواهید شد.
فقط سعی کنید برای تمیز کردن این دندان ها باید وقت بیشتری بگذارید
مسواک زدن معمولی کافی نیست. شما باید حتماً از مسواک های بین دندانی برای تمیز کردن اطراف شیارها و گیره های روی بند استفاده کنید. همچنین استفاده از نخ دندان (به کمک فلاس تردر یا همان سوزن نخ دندان) در بین دندان های عقبی از واجبات است. استفاده از دهان شویه های حاوی فلوراید نیز به تقویت مینای دندان در زیر لبه های فلزی کمک زیادی می کند.

در صورت شل شدن بند ارتودنسی باید سریعاً به مطب مراجعه کنید
با وجود اینکه این کمربندهای فلزی با چسب های بسیار محکمی به دندان متصل می شوند، اما گاز زدن غذاهای به شدت سفت یا جویدن خوراکی های چسبناک مثل گز و تافی می تواند باعث شکسته شدن چسب زیر آن ها شود.
اگر متوجه شدید که بند ارتودنسی شما در جای خود می لغزد یا با زبان می توانید آن را تکان دهید، اصلاً نباید با آن بازی کنید. شل شدن این قطعه باعث می شود آب دهان و باکتری ها به زیر فلز نفوذ کنند و چون شما نمی توانید آنجا را تمیز کنید، دندان با سرعت عجیبی می پوسد. علاوه بر این، لنگرگاه اصلی سیم شما از بین می رود و روند درمانتان متوقف می شود. بنابراین در صورت بروز این اتفاق، مصرف غذاهای جویدنی را در آن سمت دهان متوقف کنید و در اولین فرصت برای چسباندن مجدد آن از دکترتان وقت بگیرید.
پاسخ به سوالات رایجی که در مطب از ما می پرسید
خیر، مرحله نصب کاملاً بدون درد است و فقط مقداری فشار طبیعی روی فک خود احساس خواهید کرد.
به هیچ وجه نباید آدامس یا خوراکی های چسبناک بجوید زیرا چسب زیر فلز را به مرور از بین می برند.
معمولاً این قطعات از روز اول تا آخرین روز درمان ارتودنسی در دهان شما باقی می مانند.
معمولاً شل شدن آن کاملاً با زبان حس می شود، اما اگر متوجه نشوید، خطر پوسیدگی شدید دندان آسیاب شما را تهدید می کند.