شاید شما هم هنگام بستن دهان یا جویدن غذا، متوجه یک اتفاق عجیب شده باشید: دندان های یک سمت از دهان تان (مثلاً سمت راست) به خوبی روی هم قرار می گیرند، اما در سمت دیگر، یک فضای خالی بین دندان های بالا و پایین باقی می ماند. این وضعیت چیزی است که ما به آن اپن بایت یک طرفه (Unilateral Open Bite) می گوییم. اما این مشکل دقیقاً چرا به وجود می آید و مهم تر از آن، چه راه حل هایی برای درمان آن وجود دارد؟ بیایید با هم، به زبان ساده، این موضوع را به صورت کامل بررسی کنیم.
اپن بایت یک طرفه دقیقاً چه شکلی است و چرا به وجود می آید؟
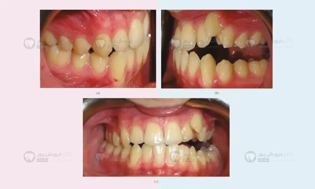
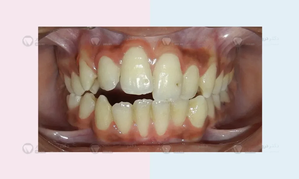
تصور کنید وقتی دهان تان را می بندید، دندان های خلفی در یک سمت کاملاً روی هم جفت می شوند، اما در سمت مقابل، انگار یک مانع نامرئی وجود دارد که اجازه نمی دهد دندان های بالا و پایین به هم برسند. این فضای باز عمودی، همان اپن بایت یک طرفه است. این مشکل می تواند هم در ناحیه دندان های جلویی (قدامی) و هم در ناحیه دندان های عقبی (خلفی) رخ دهد، اما نوع خلفی آن شایع تر است.

پیدا کردن ریشه این مشکل، کلید اصلی برای انتخاب بهترین روش درمانی است. دلایل ایجاد این ناهنجاری را می توان به چند دسته اصلی تقسیم کرد:
1. عادات دهانی نامناسب در دوران کودکی می توانند مقصر اصلی باشند
این یکی از شایع ترین دلایل احتمالی است. عادات طولانی مدت در دوران رشد می توانند به صورت مکانیکی، جلوی رویش صحیح دندان ها در یک سمت را بگیرند. تقریبا در بیشتر موارد عادات زیر باعث اپن بایت یک طرفه می شوند:
مکیدن انگشت یا اشیاء
اگر کودک به طور مداوم انگشت شست، پستانک یا حتی گوشه پتو را فقط در یک سمت از دهان خود قرار دهد، فشار ناشی از آن می تواند مانع از رشد عمودی دندان های آن ناحیه شده و یک اپن بایت یک طرفه ایجاد کند.

عادت زبانی (Tongue Habit)
برخی کودکان عادت دارند که زبان خود را بین دندان های یک سمت قرار دهند (Lateral Tongue Thrust). این فشار دائمی و ملایم زبان، مانند یک مانع عمل کرده و اجازه نمی دهد دندان های آن سمت به طور کامل رویش پیدا کنند.
بیشتر بخوانید:راه حل قطعی برای مشکل کوچک بودن فک بالا یا پایین چیست؟
2. مشکلات مربوط به رویش دندان ها هم می توانند دردسرساز شوند
گاهی اوقات مشکل از یک عادت نیست، بلکه یک اختلال در فرآیند طبیعی رویش دندان ها وجود دارد. مثلا چه اختلالی؟ این ها چند نمونه رایج هستند:
انکیلوز (Ankylosis)
در این حالت نادر، ریشه یک دندان به جای اینکه با بافت نرم به استخوان متصل باشد، مستقیماً به استخوان فک جوش می خورد. این دندان دیگر قادر به حرکت و رویش همزمان با سایر دندان ها نیست و در سطح پایین تری باقی می ماند و باعث ایجاد یک اپن بایت یک طرفه موضعی می شود.
مشکلات مسیر رویش
گاهی اوقات یک دندان دائمی به دلیل وجود مانع (مثلاً یک دندان اضافی) یا کمبود فضا، نمی تواند به طور کامل رویش کند و در نتیجه، به دندان مقابل خود در فک دیگر نمی رسد.
3. عدم تقارن در رشد اسکلتی فک نیز یک عامل مهم است
در موارد پیچیده تر، مشکل صرفاً دندانی نیست، بلکه ریشه در رشد نامتقارن استخوان های فک دارد. این یعنی ممکن است یک سمت از فک بالا یا پایین شما، از نظر عمودی، رشد متفاوتی نسبت به سمت دیگر داشته باشد. عدم تقارن اسکلتی، باعث می شود که قوس های دندانی در یک سمت به هم نرسند. این نوع اپن بایت یک طرفه معمولاً درمان پیچیده تری نیاز دارد.

چرا نباید اپن بایت یک طرفه را نادیده بگیریم؟
شاید فکر کنید این مشکل فقط کمی جویدن را سخت می کند، اما عوارض آن بسیار جدی تر است. این ها هم تعدادی از عوارض عدم درمان اپن بایت یک طرفه هستند:
- اختلال شدید در جویدن: تمام بار و فشار جویدن، روی سمتی از دهان شما می افتد که دندان هایش به هم می رسند. این موضوع نه تنها باعث سایش بیش از حد دندان های آن سمت می شود، بلکه عمل جویدن را ناکارآمد و خسته کننده می کند.
- مشکلات مفصل فک (TMJ): عملکرد نامتقارن، فشار بسیار زیادی به مفصل فک در هر دو سمت وارد می کند و می تواند منجر به درد، صدا دادن فک، سردردهای مزمن و مشکلات مفصلی دیگر شود.
- مشکلات گفتاری: در برخی موارد، این ناهنجاری می تواند در تلفظ صحیح برخی حروف اختلال ایجاد کند.
- زیبایی لبخند: عدم تقارن در لبخند و دیده شدن یک فضای خالی در یک سمت، می تواند تأثیر منفی بر زیبایی چهره و اعتماد به نفس فرد داشته باشد.
نقشه راه درمان این ناهنجاری فکی چگونه تعیین می شود؟
درمان اپن بایت یک طرفه یک کار کاملاً تخصصی است و نیاز به تشخیص دقیق علت اصلی دارد. متخصص ارتودنسی پس از معاینه کامل و تهیه رادیوگرافی های لازم، بهترین نقشه راه را برای شما طراحی می کند. روش های درمان معمولا شامل این موارد می شود:
اگر مشکل از عادات دهانی باشد، اولین قدم ترک عادت است
اگر علت اصلی، مکیدن انگشت یا قرار دادن زبان بین دندان ها باشد، اولین و مهم ترین قدم، متوقف کردن این عادت است. گاهی اوقات به محض ترک عادت، دندان ها به طور خود به خود شروع به رویش کرده و مشکل حل می شود. اگر ترک عادت سخت باشد، متخصص ارتودنسی می تواند از دستگاه های “یادآوری کننده عادت” (Habit Breaker) استفاده کند که به کودک کمک می کند تا عادت خود را کنار بگذارد.

ارتودنسی، ابزار اصلی برای اصلاح موقعیت دندان هاست
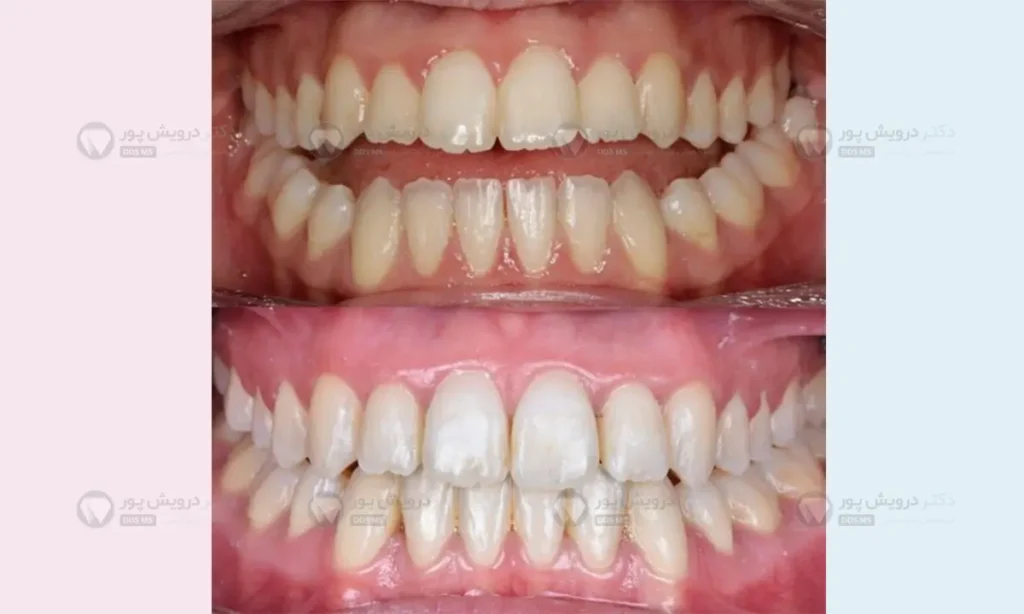
پس از کنترل عادت (در صورت وجود)، ارتودنسی نقش اصلی را در درمان ایفا می کند. هدف از ارتودنسی، کمک به رویش دندان هایی است که در سطح پایین تری قرار گرفته اند (Extrusion).
استفاده از ارتودنسی ثابت به همراه الاستیک ها
ارتودنسی ثابت رایج ترین روش درمانی برای ناهنجاری های نسبتا پیچیده است. متخصص ارتودنسی با استفاده از براکت هایی که روی دندان ها چسبانده می شود و کش های ارتودنسی عمودی (Vertical Elastics) که بین دندان های بالا و پایین در سمت اپن بایت قرار می گیرند، نیروی ملایمی را برای بیرون کشیدن دندان ها و بستن فضا اعمال می کند.
بیشتر بخوانید: ارتودنسی چطور حال دل آدم را خوب می کند؟
استفاده از مینی اسکرو (TADs)
در موارد پیچیده تر هم، ممکن است از پیچ های کوچکی به نام مینی اسکرو که در استخوان فک قرار دادهمیشوند، به عنوان یک لنگرگاه محکم برای اعمال نیروهای دقیق تر و مؤثرتر استفاده شود.
اگر مشکل اسکلتی باشد، ممکن است به جراحی فک نیاز باشد
در نهایت اگر تشخیص دادهشود که ریشه اپن بایت یک طرفه، یک عدم تقارن شدید در استخوان های فک است، ارتودنسی به تنهایی قادر به حل مشکل نخواهد بود. اینجا، بهترین و پایدارترین راه حل، درمان ترکیبی ارتودنسی و جراحی فک (ارتوگناتیک) است.

در این روش، ابتدا دندان ها با ارتودنسی برای جراحی آمادهمیشوند. سپس سپس جراح فک، با یک عمل جراحی، استخوان فک را در موقعیت متقارن و صحیح قرار می دهد.
جدول خلاصه: نگاهی به علل و راه حل های اپن بایت یک طرفه
| علت اصلی مشکل | بهترین روش درمانی | توضیحات مختصر |
|---|---|---|
| عادات دهانی (مکیدن انگشت، زبان) | ترک عادت + ارتودنسی با الاستیک | ابتدا باید عادت متوقف شود، سپس با ارتودنسی فضا بسته می شود. |
| مشکلات رویشی (انکیلوز، نهفتگی) | ارتودنسی و گاهی جراحی دندان | بستگی به شرایط دندان دارد؛ گاهی نیاز به جراحی برای آزاد کردن دندان است. |
| عدم تقارن اسکلتی فک | ارتودنسی ترکیبی با جراحی فک | تنها راه حل قطعی برای اصلاح مشکلات استخوانی در بزرگسالان است. |
فراموش نکنید که …
درمان اپن بایت یک طرفه شاید کمی چالش برانگیز باشد، اما با تشخیص درست و یک طرح درمان مناسب، کاملاً قابل اصلاح است. نتیجه نهایی، نه تنها یک لبخند زیباتر، بلکه یک سیستم جویدن کارآمد و سالم خواهد بود که کیفیت زندگی شما را به طور قابل توجهی بهبود می بخشد.
سوالات پرتکرار شما
معمولاً خیر. به جز در مواردی که فقط به دلیل عادت در کودکی ایجاد و با ترک عادت برطرف شود، در بقیه موارد نیاز به مداخله درمانی دارد.
بستگی به علت و شدت آن دارد. درمان های ارتودنسی معمولاً بین ۲ تا ۳ سال زمان می برند.
بله. اگر مشکل ریشه اسکلتی داشته باشد یا یک عادت طولانی مدت باعث رشد نامتقارن شود، می تواند منجر به عدم تقارن در ظاهر صورت و چانه نیز بشود.
هرچه زودتر، بهتر. تشخیص و درمان این مشکل در دوران کودکی (دندانپزشکی پیشگیری) بسیار ساده تر و مؤثرتر است.