تصور کنید در میانه مسیر درمان ارتودنسی خود هستید. به دستگاه های روی دندان هایتان عادت کرده اید و همه چیز دارد طبق برنامه پیش می رود. اما ناگهان، یک درد شدید و ضربان دار در یکی از دندان هایتان شروع می شود؛ دردی که امان تان را بریده و به نظر می رسد از یک دندان درد معمولی عمیق تر است. پس از مراجعه به دندانپزشک، تشخیص داده می شود که دندان شما نیاز به درمان ریشه یا همان “عصب کشی” دارد.
در این لحظه، سوالات و نگرانی های زیادی به ذهن تان هجوم می آورد مثل اینکه عصب کشی دندان حین ارتودنسی چطور ممکن است؟ آیا باید دستگاه ها را باز کرد؟ آیا درمان ارتودنسی من متوقف می شود؟ این یک موقعیت استرس زاست، اما می خواهم به شما اطمینان دهم که کاملاً قابل مدیریت است. بیایید با هم، خیلی دقیق و به زبان ساده، ببینیم در این شرایط چه باید کرد و اصلاً چرا این اتفاق می افتد.
چرا ممکن است یک دندان در طول درمان ارتودنسی به عصب کشی نیاز پیدا کند؟
اول از همه باید بدانیم که دستگاه های ارتودنسی به خودی خود باعث پوسیدگی یا عفونت عصب دندان نمی شوند. اما می توانند شرایط را برای بروز مشکلاتی که از قبل وجود داشته یا در حال شکل گیری بوده اند، مهیا کنند. بنابراین دلایل عصب کشی دندان حین ارتودنسی معمولا این ها هستند:

یک پوسیدگی پنهان که حالا پیشرفت کرده
ممکن است قبل از شروع ارتودنسی، یک پوسیدگی کوچک و پنهان (به خصوص بین دندان ها) وجود داشته که در معاینات اولیه دیده نشده است. وجود دستگاه های ارتودنسی، رعایت بهداشت را سخت تر کرده و این پوسیدگی با سرعت بیشتری پیشرفت کرده و خود را به عصب دندان رسانده است.
سابقه ضربه (تروما) به دندان
گاهی اوقات یک دندان که در گذشته (حتی سال ها قبل) ضربه خورده، ممکن است عصبی ضعیف و نیمه جان داشته باشد. نیروهای ملایم ارتودنسی می توانند مانند یک تلنگر نهایی عمل کرده و این عصب ضعیف را به سمت عفونت و درد حاد سوق دهند. یا حتی ممکن است بر اثر عوامل زیر یک ضربه جدید به صورت شما وارد شود:
- توپ بازی و کلا ورزش های تماسی
- دعوا!
- تصادف (البته خدا نکنه!)
- اینکه مثلا زمین بخورید
- و ….
تحریک ناشی از تراش های قبلی
اگر دندان شما قبلاً یک پرکردگی بسیار عمیق داشته، ممکن است عصب آن از قبل در آستانه التهاب بوده و نیروهای ارتودنسی این التهاب را تشدید کرده باشند.
آیا می توان با وجود سیم و براکت، دندان را عصب کشی کرد؟

این موضوع بزرگترین نگرانی بیماران است و پاسخ کوتاه به سوال آیا امکان عصب کشی دندان حین ارتودنسی وجود دارد بله هست. خوشبحتانه در اکثر قریب به اتفاق موارد، کاملاً امکان پذیر است.
در واقع متخصصین درمان ریشه (اندودنتیست ها) کاملاً برای چنین شرایطی آماده هستند. وجود دستگاه های ارتودنسی، معمولاً مانع بزرگی برای انجام یک عصب کشی دندان حین ارتودنسی موفق نیست.
خب فرآیند درمان معمولا به چه صورت خواهد بود؟
عصب کشی دندان حین ارتودنسی تقریبا هیچ تفاوتی با عصب کشی دندان قبل از ارتودنسی دندان ندارد. مراحل معمولا به این صورت هستند:
دسترسی به دندان
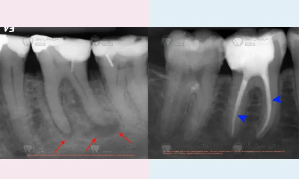
درمان ریشه از سطح جونده دندان های خلفی یا از سطح پشتی (زبانی) دندان های جلویی انجام می شود. خوشبختانه، براکت های ارتودنسی روی سطح بیرونی (گونه ای) دندان ها چسبانده می شوند. بنابراین، در بیشتر موارد، متخصص ریشه بدون اینکه سیم و براکت مزاحمتی ایجاد کند، می تواند به راحتی به دندان دسترسی پیدا کرده و کار خود را شروع کند.
انجام عصب کشی
متخصص با ایجاد یک حفره کوچک، بافت های عفونی داخل دندان را خارج کرده، کانال های ریشه را کاملاً تمیز و ضدعفونی می کند و سپس آن ها را با مواد مخصوص پر می کند. این کار منبع عفونت را از بین برده و درد شما را به طور کامل قطع می کند.
ترمیم موقت
پس از اتمام کار، حفره ایجاد شده روی دندان با یک پانسمان یا پرکردگی موقت بسته می شود.

چه زمانی ممکن است نیاز به دستکاری دستگاه ارتودنسی باشد؟
در موارد بسیار نادر، ممکن است محل پوسیدگی یا حفره دسترسی به عصب، در جایی باشد که بخشی از دستگاه ارتودنسی مانع کار شود. در این حالت، یک همکاری تیمی بین متخصص ریشه و متخصص ارتودنسی شما شکل می گیرد. متخصص ریشه از ارتودنتیست شما می خواهد که به طور موقت، براکت آن دندان خاص یا بخشی از سیم اصلی را بردارد. این یک کار ساده و سریع است.
پس از اتمام عصب کشی دندان حین ارتودنسی، شما به مطب ارتودنسی بازمی گردید تا آن قطعه دوباره سر جایش نصب شود. پس نگران نباشید! این یک سناریوی کاملاً مدیریت شده و روتین است.
تکلیف عصب کشی قبل و بعد از ارتودنسی چیست؟
حالا که خیال مان از بابت مشکل در حین درمان راحت شد، بیایید به دو سناریوی دیگر هم بپردازیم.
سناریوی اول: عصب کشی دندان قبل از شروع ارتودنسی

این بهترین و ایده آل ترین حالت ممکن است. در جلسات معاینه اولیه، قبل از اینکه حتی یک براکت روی دندان های شما چسبانده شود، متخصص ارتودنسی با معاینه دقیق و با استفاده از رادیوگرافی ها، سلامت تمام دندان های شما را بررسی می کند. اگر در این مرحله، دندانی نیاز به عصب کشی داشته باشد، شما باید حتماً و حتماً قبل از شروع ارتودنسی، آن را درمان کنید.
چرا این کار قبل از شروع درمان ضروری تلقی می شود؟
ببینید شروع ارتودنسی با یک دندان عفونی، کار درستی نیست. مثل این هست که با یک ماشین خراب بخواهید به یک سفر طولانی بروید! نه تنها درد و عفونت در طول درمان تشدید می شود، بلکه ممکن است در نهایت دندان را از دست بدهید. بنابراین اگر دکتر تشخیص دهند نیاز به عصب کشی قبل از ارتودنسی دندان هست حتما باید آن را قبل از شروع ارتودنسی انجام دهید.

یعنی آیا دندان عصب کشی شده حرکت می کند؟
بله، کاملاً! این یک باور اشتباه رایج است. دندانی که درمان ریشهشده، هنوز توسط بافت های سالم اطراف ریشه (لیگامان پریودنتال) به استخوان متصل است. و خب دقیقاً مانند یک دندان سالم، می تواند با نیروهای ارتودنسی حرکت کند.
سناریوی دوم: نیاز به عصب کشی دندان بعد از پایان ارتودنسی
این هم یک سناریوی ممکن است. ممکن است شما درمان ارتودنسی خود را با موفقیت به پایان برسانید، اما چند ماه یا چند سال بعد، یکی از دندان هایتان دچار درد می شود و نیاز به عصب کشی پیدا کند.
این مشکل معمولاً ربطی به درمان ارتودنسی قبلی شما ندارد و به دلیل یک پوسیدگی جدید یا دلایل دیگر رخ می دهد. درمان در این حالت، کاملاً روتین و عادی است و هیچ تفاوتی با عصب کشی یک دندان معمولی ندارد.
یک نگاه کلی به سناریوهای مختلف (با تاکید بر عصب کشی دندان حین ارتودنسی)
| زمان نیاز به عصب کشی | چالش اصلی | راه حل | تأثیر بر درمان ارتودنسی |
|---|---|---|---|
| قبل از ارتودنسی | وجود عفونت فعال در ابتدای درمان | انجام کامل عصب کشی و ترمیم قبل از نصب دستگاه ها | بهترین حالت درمان ارتودنسی روی دندان های سالم شروع می شود. |
| حین ارتودنسی | دسترسی به دندان با وجود دستگاه ها | عصب کشی از سطحی که براکت ندارد (در اکثر موارد). در موارد نادر، برداشتن موقت براکت. | تأخیر جزئی. ممکن است درمان برای چند هفته کند شود، اما تأثیر کلی آن ناچیز است. |
| بعد از ارتودنسی | هیچ چالش خاصی وجود ندارد. | انجام عصب کشی به صورت کاملاً روتین. | هیچ تأثیری بر نتایج ارتودنسی قبلی ندارد. |
در نهایت، به یاد داشته باشید که…
سلامت دندان های شما همیشه در اولویت است. چه قبل، چه در حین و چه بعد از ارتودنسی، هرگونه درد یا علامت عفونت را باید جدی بگیرید و فوراً به دندانپزشک مراجعه کنید. عصب کشی دندان حین ارتودنسی اگرچه می تواند کمی استرس آور باشد، اما با همکاری تیم درمانی شما، به یک خاطرهکوچک در مسیر طولانی و زیبای رسیدن به لبخند ایدهآل تان تبدیل خواهد شد.
سوالات پرتکرار شما در خصوص عصب کشی دندان حین ارتودنسی
بله. درد ارتودنسی یک درد فشاری و گنگ است که چند روز بعد از ویزیت کم می شود. اما درد عفونت، شدید، ضربان دار و مداوم است.
دندان عصب کشی شده ممکن است کمی شکننده تر باشد، اما از نظر توانایی حرکت، تفاوتی با دندان سالم ندارد.
بله، بهترین کار مراجعه به یک “متخصص درمان ریشه” یا “اندودنتیست” است. آن ها بیشترین مهارت و تجربه را در این زمینه دارند.
خیر. هزینه خود درمان ریشه تفاوتی ندارد. فقط در موارد نادری که نیاز به برداشتن و نصب مجدد براکت باشد، ممکن است هزینه جزئی مربوط به آن اضافه شود. چون دیباند و باند کردن مجدد براکت هزینه دارد.